
TRATAMENT ARTROZA | CELULE PROGENITOARE RIGENERA
■ Rata de succes de peste 90%
■ Terapie recomandata gradelor I, II si III de artroza
■ Terapia in gradul IV de artroza are limitari nefiind o indicatie ca in celelalte grade
■ O singura interventie, fara necesitatea repetarii
■ Tratamentul dureaza 40-60 de minute si nu este dureros
■ Pacientul vine si pleaca pe picioarele sale dupa tratament
■ Limitari la ridicarea de obiecte grele si sarituri timp de 2 luni; restul activitatilor se pot desfasura normal
■ Tratamentul are loc in Bucuresti la Clinica Doctor MiT
■ Pretul pentru tratamentul complet al unei articulatiei este de 1,350 Euro
■ Tratamentul a doua articulatii este 1,900 Euro (in aceeasi interventie)
■ Nu este decontat de catre Casa de Asigurari
■ Amana protezarea, opreste procesul degenerativ ori reface complet suprafata articulara
Suna la numarul de telefon cu tarif normal 031 9555 sau completeaza formularul si vei fi sunat de catre consultantul Doctor MiT specializat in aceasta afectiune.
"*" indică câmpurile obligatorii
CE SPUN PACIENTII RIGENERA
![]()
![]()
![]()
CE SPUN MEDICII
PRINCIPIUL TEHNOLOGIEI RIGENERA | TRATAMENT ARTROZA
- Celulele progenitorii sunt izolate cu un dispozitiv incredibil de mic si de eficient si apoi sunt injectate direct in articulatia bolnava.
- Tehnologia care face posibil acest tratament modern ce poate duce la vindecarea artrozei, se numeste RIGENERA si este folosita in zeci de tari in acest scop precum si in cercetarea stiintifica precum este in cazul E.S.A. (European Space Agency – Agentia Spatiala Europeana) pentru studiul regenerarii tesuturilor in microgravitatie.
-
UN TRATAMENT ARTROZA RAPID
Tratamentul dureaza pana la o ora, incluzand aici obtinerea microgrefelor de celule progenitorii ce dureaza cat doua sesiuni de dezagregare tisulara de 5 minute adica un total de 10 minute.
- Beneficiarul tratamentului pleaca acasa fara sa aiba limitari sau restrictii altele decat cele normale precum sa nu puna presiune pe articulatia tratata (alergare, sarituri sau carat de obiecte grele) timp de 4 saptamani.
-
OSTEOARTRITA, ARTRITA SAU ARTROZA: ACELASI LUCRU
Rigenera trateaza orice tip de articulatie si este recomandata pentru artrozele de gradul I, II si III.
- In gradul IV de artroza Rigenera nu mai are impact la nivelul suprafetei articulare insa poate reduce durerea iar pacientii solicita terapia pentru amanarea protezarii. Adesea, Rigenera reprezinta singura solutie pentru imbunatatirea calitatii vietii pacientilor ce, din diferite motive, nu pot suporta operatia de protezare. De retinut ca artroza mai poarta denumirea si de osteoartrita sau, mai simplu, artrita.
-
PESTE 90% SUCCES CU O SINGURA ADMINISTRARE
Atunci cand gradul de artroza este corect identificat iar pacientul este compliant privind indicatiile post-tratament, gradul de reusita in tratament este foarte inalt, de 90%.
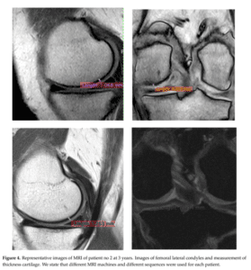
Specialistii dar si pacientii cu “experienta” in artroza, pot identifica castigul de grosime a tesutului articular comparand imaginea de sus cu cea de jos respectiv aceeasi incidenta a articulatiei investigate RMN inainte de administrarea terapiei Rigenera in artroza si apoi la 3 ani dupa tratament.
- Fiecare calup de imagini reprezinta cate un pacient investigat cu incidenta frontala si laterala. Detalii suplimentare in marginea inferioara a fiecarei imagini - interpretarea imaginilor se face pe 1/2 stanga sus versus jos si 1/2 dreapta sus versus jos.
Aceasta terapie celulara, ce se administreaza o singura data sau, in cazuri rare, cu o repetare peste multi ani de zile, ajuta medicul in gestionarea pacientului intr-un mod modern, fara sa fie nevoie de injectari multiple in articulatie cum este cazul “terapiei vampir” cu plasma.
- Aceasta unica administrare este un aspect apreciat din 2012 de catre toti pacientii Rigenera din lume si, incepand cu 2018, si de catre pacientii din Romania, .
-
CEL MAI BUN RAPORT REZULTAT-COST DIN CLINICA DOCTOR MIT
Pretul de baza al terapiei cu administrare unica de celule progenitorii Rigenera este de 1,350 Euro per articulatie tratata si variaza in functie de gravitatea cazului si a conditiilor de administrare a tratamentului (in cabinet / artroscopic / intraoperator).
Daca este necesar sa se administreze terapia cu microgrefe pentru vindecare in artroza la nivelul mai multor articulatii, atunci se folosesc dispozitive consumabile Rigeneracons mai mari, astfel incat pretul terapiei sa fie cat mai eficient pentru pacient iar pretul de baza pentru tratarea a doua articulatii in cursul aceleiasi interventii este de 1,900 Euro.
- Majoritatea tratamentelor se realizeaza la pretul de baza.

Dr. Bogdan Ivanescu, fondatorul Doctor MIT, in dialog cu chirurgul plastician Anna Fogli si cu inventatorul tehnologiei Rigenera, prof. Antonio Graziani, in timpul lansarii Rigenera in Romania, anul 2018. Tehnologia Rigenera este indicata ca si terapie pentru coxartroza (artroza de sold), gonartroza (artroza de genunchi), artroza de glezna, de umar si de orice alta articulatie unde poate ajunge medicul in scopul injectarii concentratului.
Administrarea microgrefelor Rigenera se face sub control imagistic la nivel de sold si nu doare in cazul nici unei articulatii.
-
TRATAMENT ARTROZA: EFECTE RAPIDE, FARA NEVOIE DE REPETARE

Chirurgul plastician Dragos Zamfirescu, fondatorul Clinicii Zetta, alaturi de chirurgul ortoped Mihai Rascu, explica comunitatii stiintifice logica utilizarii de celule progenitorii obtinute prin tehnologia Rigenera, pentru regenerarea tesuturilorAsa cum a aratat inca de la lansarea Rigenera in Romania in 2018 chirurgul ortoped Mihai Rascu, aflat alaturi de chirurgul plastician Dragos Zamfirescu, efectele terapiei cu celule progenitorii incep sa se vada imediat, in 24 -48 de ore de la administrarea transplantului autolog-omolog, in primul rand prin diminuarea, pana la disparitie a durerii si apoi, in termen de 3-12 luni, prin recuperarea suprafetei articulare. Un numar redus de pacienti cunoaste o crestere a jenei dureroase in primele doua zile de la tratament urmand ca, si in cazul acestora, efectele pozitive ale terapiei, reducerea pana la disparitia durerii si recapatarea mobilitatii, sa se instaleze in acelasi interval de timp.
-
PROGRAMARE LA TRATAMENT ARTROZA
-
031 9555
REFERINTE:
Marcarelli, M.; Zappia, M.; Rissolio, L.; Baroni, C.; Astarita, C.; Trovato, L.; Graziano, A. Cartilage Micrografts as a Novel Non-Invasive and Non-Arthroscopic Autograft Procedure for Knee Chondropathy: Three-Year Follow-Up Study. J. Clin. Med. 2021, 10, 322. https://doi.org/doi:10.3390/jcm10020322
Marcarelli, M., Fiammengo, M., Trovato, L., Lancione, V., Novarese, E., Indelli, P. F., & Risitano, S. (2020). Autologous grafts in the treatment of avascular osteonecrosis of the femoral head. Acta bio-medica : Atenei Parmensis, 91(2), 342–349. https://doi.org/10.23750/abm.v91i2.8188
Viganò, M., Tessaro, I., Trovato, L. et al. Rationale and pre-clinical evidences for the use of autologous cartilage micrografts in cartilage repair. J Orthop Surg Res 13, 279 (2018). https://doi.org/10.1186/s13018-018-0983-y
Tsoukas, D., Muntean, I., Simos, C., & Sabido-Vera, R. (2023). Prospective Observational Study of a Non-Arthroscopic Autologous Cartilage Micrografting Technology for Knee Osteoarthritis. Bioengineering, 10(11), 1294. https://doi.org/10.3390/bioengineering10111294
ALTE ARTICOLE DE INTERES PRIVIND TRATAMENTUL ARTROZEI
TRATAMENT MODERN IN ARTROZA: RIGENERA!
Intr-o singura interventie ce dureaza doar o ora, terapia cu celule progenitoare opreste procesul degenerativ si stimuleaza refacerea tesutului cartilaginos.
Stii despre cel mai modern tratament pentru artroza?
Dr. Mihai Rascu ne vorbeste despre aplicarea tehnologiei Rigenera in tratamentul artrozei.
Tratament artroza cu celule progenitorii Rigenera
Cel mai nou tratament pentru artroza! Artroza poate fi vindecata cu ajutorul tehnologiei de microgrefare Rigenera.
Noua solutie pentru artroza si escare: Rigenera
Sonia Argint si Doctor MIT intra in detaliile tehnologiei de izolare a celulelor progenitorii in tratarea artrozei, escarelor si arsurilor.
Tratament cu celule progenitorii accesibil romanilor
Afla ce pot face celulele progenitorii pentru tine sau pentru cineva drag tie! Urmareste acest episod sau suna la 0760 01 33 11 pentru detalii!
Adio artroza, cicatrice, alopecie. Avem Rigenera!
Cel mai bun tratament al artrozei, escarelor, piciorului diabetic si al arsurilor prin microgrefarea cu progenitorii obtinute cu Rigenera.






















45 Comments
Buna ziua,pentru artrita la maini,se poate? cam cat m-ar costa ?Multumesc !
Buna ziua, Dorina!
Tratamentul cu Rigenera poate fi o opțiune viabilă pentru artrita la mâini, dar este important să veniți la un consult in cadrul clinici doctor mit pentru mai multe detalii și informații.
Multă sănătate si o zi minunata!
tel: 0319555
clinicadoctormit.ro/servicii-consultatii-proceduri-si-tratamente/
Buna ziua!
Procedura se poate aplica si in cazul herniei de disc?
Buna ziua!
Din pacate tratamentul cu rigenera nu se poate aplica in cazul herniei de disc.
Multa sanatate !
Coxartroza C6 -C7 se poate face procedura.Preț aproximativ.Mulțumesc
Rigenera este indicat și pentru artroza la coloana ?
Buna ziua!
Rigenera trateaza orice tip de articulatie (cu exceptia falangelor distale), putand fi folosita acolo unde este posibila injectarea articulatiei.
Pentru programari sau mai multe detalii puteti suna la acest nr de telefon:
0374427747
Ganduri bune!
Diagnostic coxartroza primara,bilaterala ,gonartroza primara,bilaterala cu operatie de fractura de sold recenta ,intreb daca terapia in cazul meu este eficienta,mentionez ca am si 82 de anii ,multumesc.
Buna ziua!
Cu siguranta! Chiar daca patologiile asociate, antecedentele si varsta, pot influenta negativ, tot puteti beneficia de acest tratament!
Pentru detalii si programari, puteti suna la acest nr de telefon:
0374427747
Ganduri bune!
Am gonartroza avansata la ambii genunchi.(concluzie RMN).Pot face aceasta procedura?
Buna ziua!
Cu siguranta, puteti beneficia de acest tratament!
Pentru mai multe detalii si programari puteti suna la acest numar de telefon:
0374427747
Ganduri bune!
Am gonartroza avansata la ambii genunchi.Pot face tratamentul dumneavoastră?
Buna ziua!
Cu siguranta, puteti beneficia de acest tratament!
Pentru mai multe detalii si programari puteti suna la acest numar de telefon:
0374427747
Ganduri bune!
Buna ziua , am facut un RMN la genunchiul drept si am primit urmatoarea concluzie...
Rezultat:
Segmente osoase in pozitie normala.
Productiuni osoase marginale se evidentiaza adiacent suprafetelor articulare ale condililor si ale foselor tibiale.
Cartilajul trohlear observa eroziuni ce nu ajung la nivelul osului subcondral, aspect sugestiv pentru o condropatie grad IV.
Cornul posterior si corpul MI apar scazute in volum, cu difuze modificari de semnal cu caracter degenerativ postinterventional.
Cartilajul condilului medial si mai putin al hemiplatoului tibial este sever erodat, fluidul articular avand contact direct cu osul subcondral, aspect de condropatie grad IV.
Ligament incrucisat posterior apare crescut in volum, difuz infiltrat interstial.
Ligament incrucisat anterior cu traiect pastrat.
Ligamente colaterale, menisc extern cu aspect normal.
Retinacule patelare cu continuitate pastrata.
Acumulare lichidiana intraarticulara in exces.
Fara imagini sugestive pentru ruptura la nivelul structurilor musculare sau tendinoase adiacente articulatiei genunchiului.
Concluzii:
Condropatie trohleara si femurala mediala grad IV.
MI sever degenerat postinterventional.
Degeenrare mucoida LIP.
Salutari!
Cum pot ajuta? 🙂
Buna ziua,sunt operată de menisc,de 4 ani,sunt diagnosticata cu gonactroza genunchi drept,acelaș genunchi operat,plus borsita sold drept,mentionez ca am dureri si la soldul stâng,ma ajuta aceast tratament?
Buna ziua!
Tehnica Rigenera ajuta la nivel de orice articulatie, cu exceptia falangelor distale. Este foarte important si gradul de gonartroza, beneficiile fiind reduse daca aveti un diagnostic de grad IV.
Pentru mai multe detalii si programari puteti suna la acest numar de telefon:
0374427747
Va astept!
Ma intereseaza pentru mama.se poate face la Sibiu sau la Tg Mures?
Buna ziua!
Din pacate, sediul se afla doar in Bucuresti.
Daca aveti posibilitate, va astept cu drag!
Va puteti programa la acest nr de telefon:
0374427747
Ganduri bune!
As dori sa Ami spuneți la acluj Napoca o clinica pentru a mă programa la un consult
Buna ziua!
Sediul clinicii Doctor MiT se afla in Bucuresti (nu cunosc detalii legate de Cluj), daca aveti posibilitatea sa ajungeti, procedura fiind de scurta durata, cu reintoarcerea la domiciliu in aceeasi zi si fara restrictii majore post procedura.
Programarea o puteti face la acest nr de telefon:
0374427747
Ganduri bune!
Oare la Cluj se face aceastä procedurä?
Buna ziua!
Din pacate, sediul se afla in Bucuresti!
Daca aveti posibilitatea de a ajunge, va astept!
Va puteti programa la acest nr de telefon:
0374427747
Ganduri bune!
Bună seara. O clinica în jud Arad aveți? Mulțumesc.
Buna seara!
Din pacate, sediul clinicii se afla doar in Bucuresti!
Daca aveti posibilitatea de a ajunge, va astept!
Va puteti programa la acest numar de telefon:
0374427747
Ganduri bune!
La brasov unde aveti o asemenea clinica? Faceti si cu trimitere de la doc.de familie?
Tratamentele se fac in Bucuresti, dureaza putin, si in aceeasi zi va puteti intoarce la Brasov. Terapia Rigenera nu este decontata de catre casa de asigurari.
Eu am artroza la ambi genunchi, la dreptul e os pe os,se pote face acest tratament?
Sunati la 0374427747 sau completati formularul din aceasta pagina si va vom oferi raspunsul!
Dacă lucrați cu casa de asigurări și cum se procedează, mulțumesc.
Buna ziua!
Pentru programari puteti suna la acest nr de telefon:
0374427747
Tratamentul nu este decontat de catre Casa de Sanatate.
Ganduri bune!
Am fost identificata de curând cu gonartroza. In plus mă dor și restul articulațiilor. Am 53 de ani și as dori sa știu dacă există vreo șansă de vindecare.
Multumesc
Da, daca ati fost recent diagnosticata, aveti toate sansele sa va vindecati.
Sunati la 0374427747 sau completati formularul din aceasta pagina si va vom suna noi!
Soțul meu are coxartroza dreaptă incipientă polara inferioară. Se poate face terapia Rigenera?Mulțumesc!
Buna ziua!
Sigur, se poate programa la nr de telefon:
0374 42 77 47
Multa sanatate!
Buna ziua! Mama 82 ani, coxartroza gradul IV. Tratamentul acesta ii poate ameliora durerile? Am inteles ca de regenerare nu poate fi vorba.
Din pacate, intr-adevar, nu mai putem influenta nimic la un asemenea grad de artroza cu exceptia durerii.
Aceasta se poate remite sau diminua pentru cateva luni de zile.
Este decizia fiecarui pacient in parte, cunoscand aceasta, daca apeleaza la terapia Rigenera in acest scop.
Ne puteti apela pentru detaliere la 0755337648.
Multa sanatate!
pentru gonartroza plus ruptura de menisc terapia rigernera da rezultate bune?
Foarte bune pentru gradul I, II si III de artroza si nimic pentru ruptura de menisc. Sunt doua tipuri diferite de afectiuni.
Am poliartrita reumatoida, degetele la ambele mâini sunt deformate, ma dor articulațiile si nu mai am mobilitate, îndemânare, dextetitate si forța necesara in maini. Va rog sa imi spuneti daca se exista vreo terapie aplicabila macar pentru stopare evolutiei si a durerii! Sunt din Botoșani si va rog sa imi recomandați o clinica in apropiere Va mulțumesc!
Da, puteti beneficia de tratament Rigenera la clinica doamnei doctor Sanda Baciu din Piatra Neamt.
Aveti aici datele de contact:
CMI DR. BACIU SANDA PIATRA NEAMȚ
Tel: +40 740 238 027
L, Mi - 14:00-19:00
Ma, J, V - 08:00-13:00
Str. Ștefan cel Mare nr. 76, Piatra Neamț
Programări între orele 12:00-14:00
https://www.drbaciusanda.com/contact/
Buna seara.Nora mea a facut operatie de fibrom uterin si in jurul taieturii s-a invinetit ,asta la o saptamana dupa operatie?E normal?
Nu va pot raspunde la aceasta intrebare. Pacientul trebuie vazut de catre medicul curant, musai.
Buna ziua.Pentru o persoana in varsta de 83 de ani, cu dureri de solduri si greutate la mers , cat de eficient ar fi acest tratament?
Varsta nu este o problema. Ne intereseaza doar gradul de artroza.
Ne puteti contacta pentru a ne oferi detalii la numarul de telefon 0755337648.